Angiographie – Angio-OCT

Pour comprendre l’état des vaisseaux rétiniens, les examens d’angiographie sont incontournables. Il en existe deux types : la méthode traditionnelle, avec injection de colorant, et l’approche non invasive moderne appelée angio-OCT.

Principes de l’angiographie et de l’angio-OCT

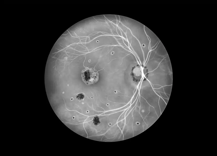
L’angiographie par injection utilise des produits comme la fluorescéine pour suivre la circulation du sang dans l’œil. Ce procédé est efficace pour mettre en évidence les anomalies vasculaires complexes.

L’angio-OCT repose sur l’analyse de plusieurs images en rafale, qui détectent les micro-mouvements sanguins. Elle ne nécessite aucune injection et permet une reconstitution fine du réseau vasculaire oculaire, sans risque allergique.

Ces deux techniques offrent une complémentarité diagnostique, choisies selon la pathologie suspectée et les besoins cliniques.

Dans quels cas l’angiographie est-elle indiquée en ophtalmologie ?

Angio-OCT

Indiquée dans :

Angiographie par injection

Utilisée pour :

  • Rechercher des fuites de liquide dans les vaisseaux.
  • Examiner les conséquences d’affections inflammatoires ou infectieuses.
  • Étudier la vascularisation tumorale.
  • Contrôler l’efficacité d’un traitement post-opératoire.

Comment se déroulent l’angio-OCT et l’angiographie ?

  • Angio-OCT : l’examen dure quelques minutes. Le patient regarde une lumière fixe pendant que l’appareil enregistre les images. Une dilatation peut être nécessaire selon la profondeur d’analyse souhaitée.
  • Angiographie avec injection : après la mise en place d’un cathéter, un produit de contraste est injecté et son passage dans la rétine est photographié. L’examen est sans douleur, mais peut entraîner une légère sensation de chaleur. Le colorant est éliminé naturellement.

L’angio-OCT est idéale pour un suivi fréquent et sans contrainte, tandis que l’angiographie avec injection reste indispensable pour une évaluation approfondie. Ensemble, ces techniques assurent une surveillance efficace des maladies vasculaires oculaires.