Myopie forte

En forte progression à l’échelle mondiale, la myopie forte est une pathologie oculaire qui nécessite une attention particulière en raison de ses potentielles complications graves. Ce trouble visuel peut affecter durablement la qualité de la vision s’il n’est pas pris en charge à temps.

Myopie forte : définition

La myopie forte est définie par une réfraction supérieure à -6 dioptries, souvent accompagnée d’une longueur axiale excessive de l’œil (plus de 26 mm). Cela empêche les rayons lumineux de converger correctement sur la rétine, rendant flous les objets éloignés. Elle se manifeste généralement durant l’adolescence, à une période clé de la croissance oculaire, et concerne aujourd’hui environ 2 % de la population mondiale.

Contrairement aux formes plus bénignes, elle comporte des risques de lésions oculaires complexes qui peuvent évoluer vers une perte de vision partielle ou totale.

Complications associées à la myopie forte

Une myopie forte s’accompagne de nombreuses complications visuelles potentielles. Leur reconnaissance et leur prise en charge rapide permettent d’éviter une dégradation visuelle importante.

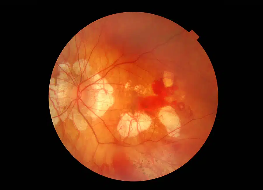
Néovaisseaux rétiniens

La présence de néovaisseaux sous la rétine peut provoquer des taches dans la vision centrale, des images déformées, ou une baisse d’acuité visuelle. Ce trouble est à surveiller attentivement chez les myopes forts.

Décollement de la rétine

Les personnes très myopes présentent un risque élevé de décollement de la rétine, souvent lié à une liquéfaction anormale du vitré. Cette affection peut se signaler par des flashs lumineux, une vision de points noirs ou une diminution de la vision périphérique. Sans traitement, elle peut conduire à la cécité.

Glaucome

Même si elle n’en est pas la cause directe, la myopie forte favorise l’apparition du glaucome, une maladie insidieuse qui abîme progressivement le nerf optique et altère le champ visuel.

Trou maculaire et fovéoschisis

Chez certains patients, l’étirement de la rétine dans la zone centrale peut créer un trou maculaire ou un fovéoschisis, provoquant des déficits visuels importants.

Cataracte précoce

La cataracte peut survenir plus tôt chez les personnes atteintes de myopie forte, entraînant une baisse progressive de la vision si elle n’est pas prise en charge.

Myopie forte : quelles solutions ?

Différentes options existent :

  • Verres correcteurs et lentilles pour compenser le trouble réfractif.
  • Chirurgie au laser (PKR, LASIK) pour corriger la courbure de la cornée.
  • Implants Phake en cas de forte correction.
  • Orthokératologie pour remodeler la cornée temporairement.
  • Injections anti-VEGF en cas de néovaisseaux rétiniens.

Comment prévenir la myopie ?

Si empêcher la myopie est impossible, des techniques permettent de limiter son évolution :

  • Favoriser la lumière extérieure ;
  • Diminuer le temps d’écran ;
  • Veiller à une bonne hygiène visuelle.

Une consultation annuelle permet un diagnostic précoce des complications.

La myopie forte peut être maîtrisée grâce à une approche proactive, dès l’enfance, pour maintenir une vision de qualité à long terme.